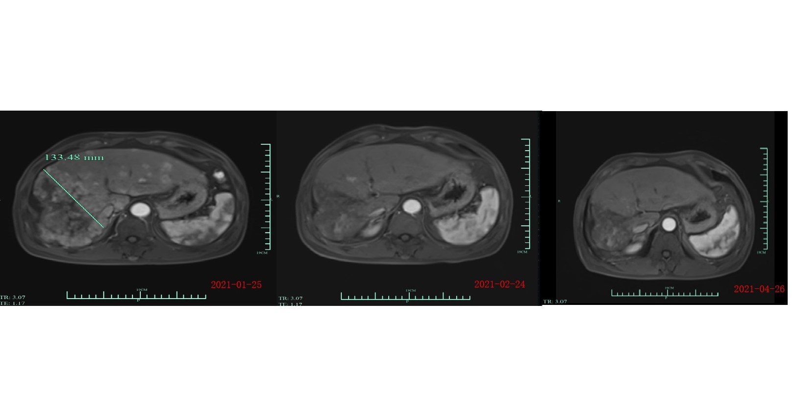
Hence then, the article about origincell therapeutics presents positive results of gpc3 car t in hcc trial at the 2021 asco annual meeting was published today ( ) and is available on PR Newswire ( Middle East ) The editorial team at PressBee has edited and verified it, and it may have been modified, fully republished, or quoted. You can read and follow the updates of this news or article from its original source.
Read More Details
Finally We wish PressBee provided you with enough information of ( OriginCell Therapeutics Presents Positive Results of GPC3 CAR-T in HCC Trial at the 2021 ASCO Annual Meeting )
Last updated :
Also on site :
- Belgium corrects US on ‘peace board’ claim
- Vue Cinema Chain Halts Liquidation Threat From Coca-Cola Bottling Giant After Settling Unpaid Bill
- Numbrix 9 - January 23
