Experimental cancer therapy shown to dramatically prolong life ...Middle East

CBS News - Cultural
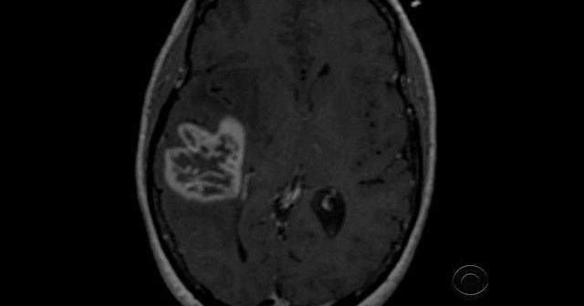
Experimental cancer therapy shown to dramatically prolong life
Duke University released a study Wednesday detailing the results of an experimental treatment aimed at getting a patient's immune system to fight off glioblastoma, a vicious form of brain cancer. The treatment, which incorporates a tetanus shot, has seen dramatic results in patients who were given just months to live. CBS News chief medical correspondent Dr. Jon LaPook reports.

Hence then, the article about experimental cancer therapy shown to dramatically prolong life was published today ( ) and is available on CBS News ( Middle East ) The editorial team at PressBee has edited and verified it, and it may have been modified, fully republished, or quoted. You can read and follow the updates of this news or article from its original source.

Read More Details
Finally We wish PressBee provided you with enough information of ( Experimental cancer therapy shown to dramatically prolong life )

Apple Storegoogle play

Last updated :

Also on site :

Most viewed in Cultural


Latest News