A promising new way to diagnose concussions ...Middle East

CBS News - Cultural
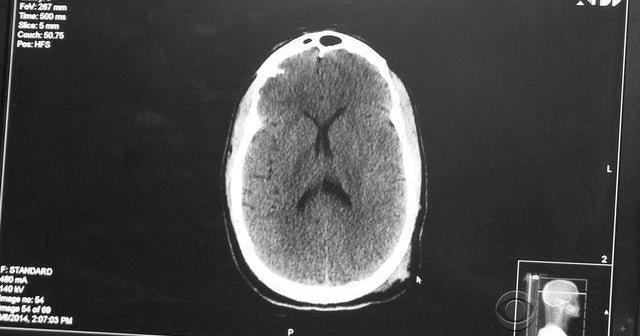
A promising new way to diagnose concussions
Researchers are developing a way to diagnose concussions by focusing on how eyes track a moving image. As Dr. Jon LaPook explains, the new technique could be key in detecting concussions in patients whose CT scans show no evidence of brain injury.

Hence then, the article about a promising new way to diagnose concussions was published today ( ) and is available on CBS News ( Middle East ) The editorial team at PressBee has edited and verified it, and it may have been modified, fully republished, or quoted. You can read and follow the updates of this news or article from its original source.

Read More Details
Finally We wish PressBee provided you with enough information of ( A promising new way to diagnose concussions )

Apple Storegoogle play

Last updated :

Also on site :

Most viewed in Cultural


Latest News