New York doctors save patient with 20-pound tumor ...Middle East

CBS News - Cultural
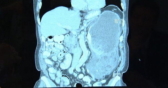
New York doctors save patient with 20-pound tumor
Doctors at NYU Langone Medical Center saved a man with a liposarcoma, a rare cancer. The patient had a 20-pound tumor and didn’t even know it. Craig Boswell reports this story from Staten Island, New York.

Hence then, the article about new york doctors save patient with 20 pound tumor was published today ( ) and is available on CBS News ( Middle East ) The editorial team at PressBee has edited and verified it, and it may have been modified, fully republished, or quoted. You can read and follow the updates of this news or article from its original source.

Read More Details
Finally We wish PressBee provided you with enough information of ( New York doctors save patient with 20-pound tumor )

Apple Storegoogle play

Last updated :

Also on site :



Latest News