Risk Score May Predict ICH in Anticoagulated Patients ...Middle East

Medscape - News
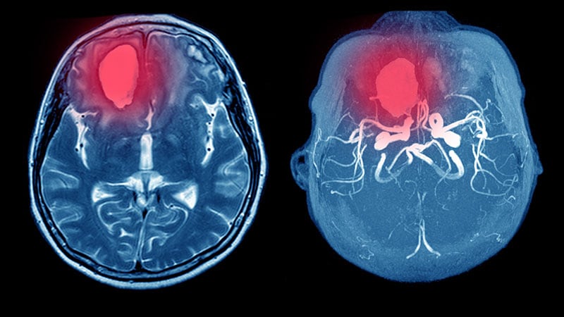
Risk Score May Predict ICH in Anticoagulated Patients
A new tool that uses information found in patients’ medical records could predict risk for intracranial hemorrhage in patients taking anticoagulants, a new study suggests. Medscape Medical News

Hence then, the article about risk score may predict ich in anticoagulated patients was published today ( ) and is available on Medscape ( Middle East ) The editorial team at PressBee has edited and verified it, and it may have been modified, fully republished, or quoted. You can read and follow the updates of this news or article from its original source.

Read More Details
Finally We wish PressBee provided you with enough information of ( Risk Score May Predict ICH in Anticoagulated Patients )

Apple Storegoogle play

Last updated :

Also on site :